Imagerie

Par définition, l’imagerie médicale vétérinaire regroupe les différents moyens d’acquisition et de restitution d’images du corps des animaux.

Dans ce domaine, la clinique a la chance de posséder un large panel de machines :

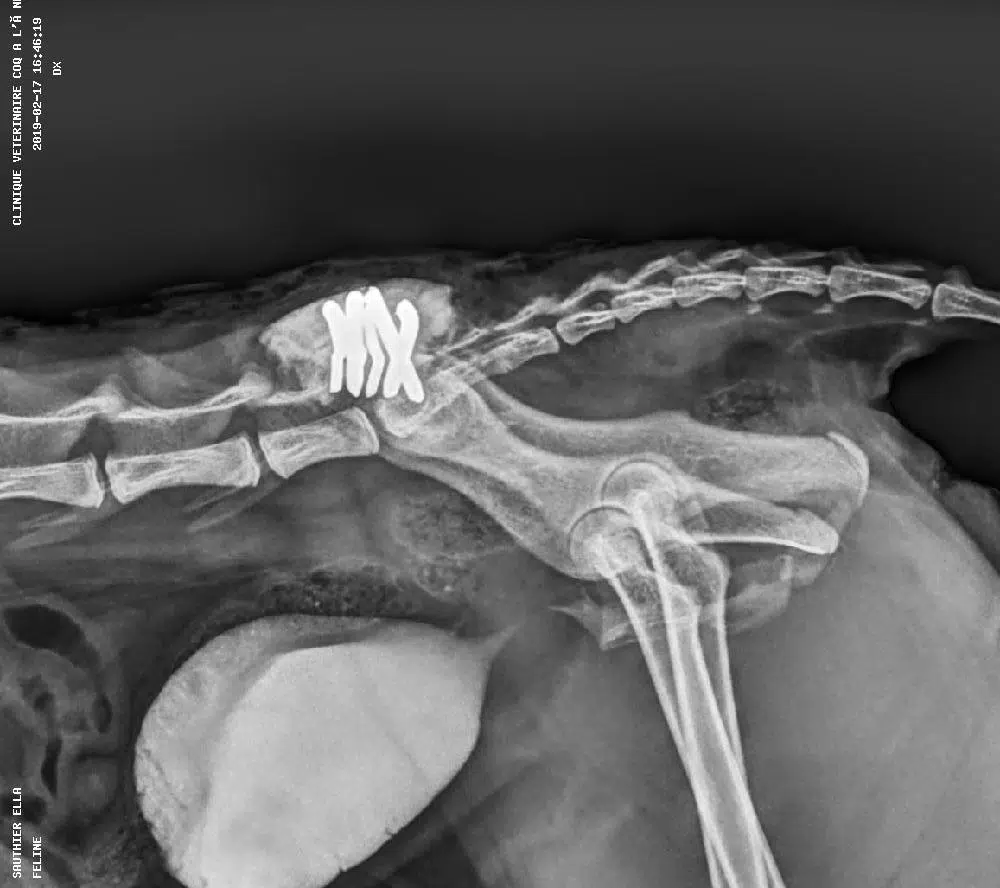
  • Une radiographie numérique avec un système capteur plan

  • Une radiographie dentaire avec un système équivalent à celui utilisé chez votre dentiste

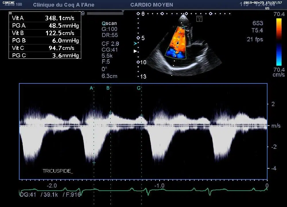
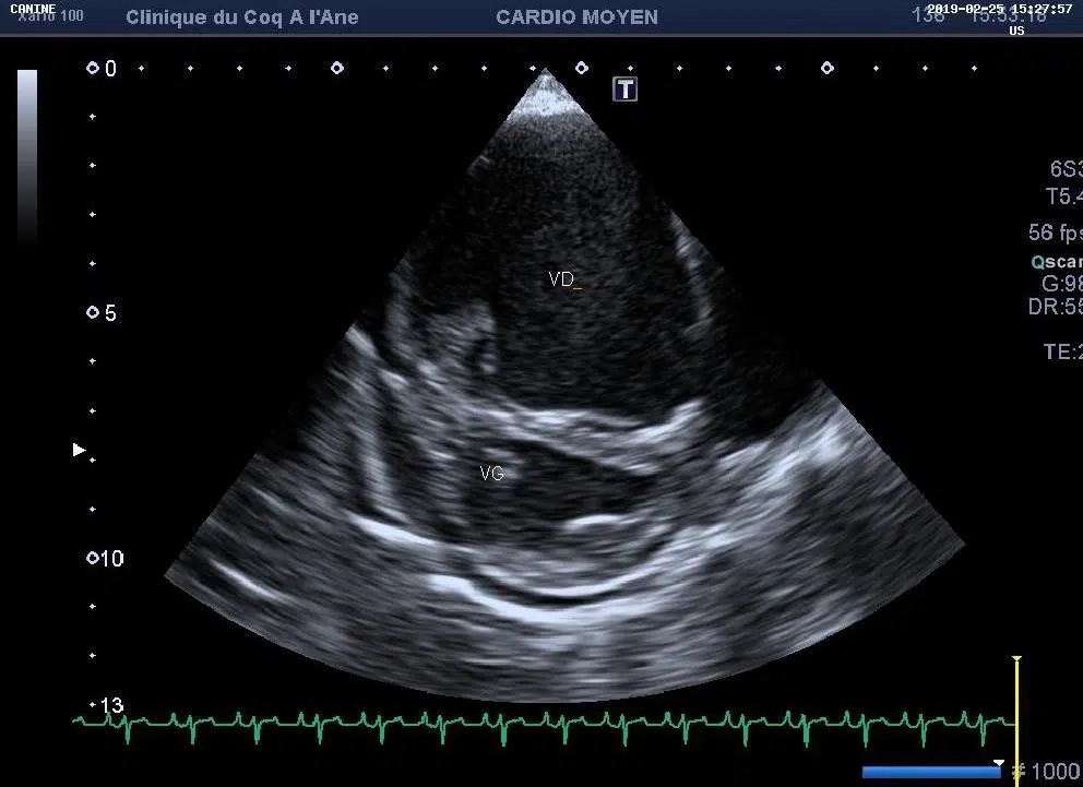
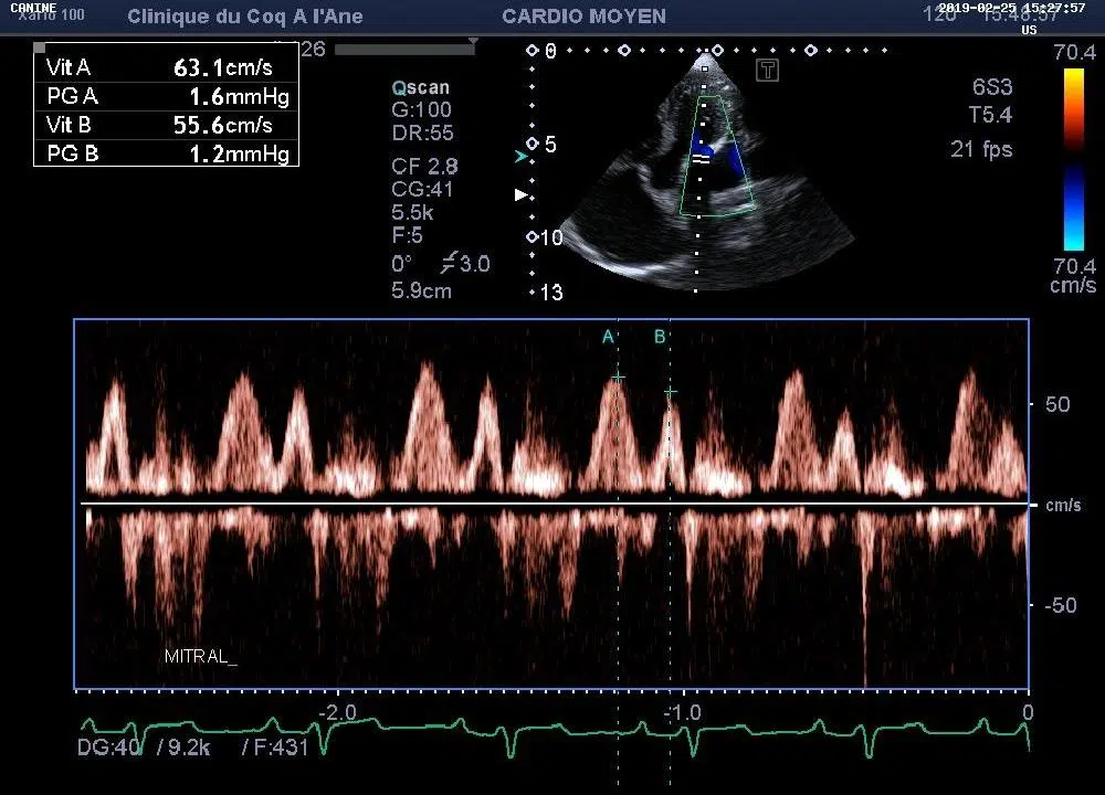
  • 2 échographes dédiés aux petits animaux munis respectivement de 2 et 4 sondes

  • 3 fibroscopes souples et 3 fibroscopes rigides, tous de diamètre différent pour augmenter les possibilités d’exploration

  • Un scanner 16 barrettes de dernière génération

  • Un serveur d’imagerie centralisant l’ensemble des images produites et création d’un lien vers la fiche de chaque patient

Tous ces matériels constituent des outils diagnostiques indispensables à la pratique d’une médecine et d’une chirurgie vétérinaire de qualité.